Skip to content
Δρ Γεώργιος Βουρλιωτάκης | Αγγειοχειρουργός
Αγγειοχειρουργός – Αγγειολόγος | Αθήνα
217 700 8002
Λεωφ Κηφισίας 36, Αμπελόκηποι 11526, Αθήνα
Λεωφόρος Κηφισίας 36
Αμπελόκηποι 11526, Αθήνα
217 700 8002
Δέχεται κατόπιν ραντεβού
Αρχική
Βιογραφικό
Ιατρείο
Παθήσεις αρτηριών
Ανεύρυσμα κοιλιακής αορτής
Αγγειοπλαστική αρτηριών με μπαλόνι/stent
Ανεύρυσμα λαγονίου – ενδαγγειακή αντιμετώπιση με πλάγιο κλάδο
Θωρακοκοιλιακό ανεύρυσμα – Ενδαγγειακή αντιμετώπιση
Νέα ενδαγγειακή μέθοδος αντιμετώπισης των “δύσκολων” ανευρυσμάτων της αορτής
Στένωση καρωτίδας και αντιμετώπιση
Παθήσεις φλεβών
Θεραπεία κιρσών με laser
Θεραπεία κιρσών με RFA
Κιρσοί
Εν τω βάθει φλεβική θρόμβωση – Πνευμονική εμβολή
Επιπολής θρομβοφλεβίτιδα
Θεραπεία ευρυαγγειών
Πληροφορίες
Νοσοκομεία
Προγραμματισμός επεμβάσεων για ασθενείς εκτός Αθηνών
Συχνές ερωτήσεις
Χρήσιμες πληροφορίες για τον ασθενή που πρόκειται να υποβληθεί σε laser
Νέα
Επικοινωνία
Αρχική
Βιογραφικό
Ιατρείο
Παθήσεις αρτηριών
Ανεύρυσμα κοιλιακής αορτής
Αγγειοπλαστική αρτηριών με μπαλόνι/stent
Ανεύρυσμα λαγονίου – ενδαγγειακή αντιμετώπιση με πλάγιο κλάδο
Θωρακοκοιλιακό ανεύρυσμα – Ενδαγγειακή αντιμετώπιση
Νέα ενδαγγειακή μέθοδος αντιμετώπισης των “δύσκολων” ανευρυσμάτων της αορτής
Στένωση καρωτίδας και αντιμετώπιση
Παθήσεις φλεβών
Θεραπεία κιρσών με laser
Θεραπεία κιρσών με RFA
Κιρσοί
Εν τω βάθει φλεβική θρόμβωση – Πνευμονική εμβολή
Επιπολής θρομβοφλεβίτιδα
Θεραπεία ευρυαγγειών
Πληροφορίες
Νοσοκομεία
Προγραμματισμός επεμβάσεων για ασθενείς εκτός Αθηνών
Συχνές ερωτήσεις
Χρήσιμες πληροφορίες για τον ασθενή που πρόκειται να υποβληθεί σε laser
Νέα
Επικοινωνία
Αγγειοπλαστική αρτηριών με μπαλόνι/stent
Αγγειοπλαστική αρτηριών με μπαλόνι/stent
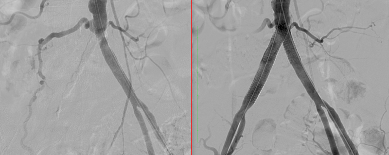
Αγγειοπλαστική λαγόνιων αρτηριών - kissing stents
αγγειοπλαστικη
Απόφραξη ΔΕ λαγονίου αρτηρίας και στένωση αριστερής - Αγγειοπλαστική με kissing stents
Go to Top
Χρησιμοποιούμε cookies για να σας προσφέρουμε την καλύτερη δυνατή εμπειρία στη σελίδα μας. Εάν συνεχίσετε να χρησιμοποιείτε τη σελίδα, θα υποθέσουμε πως είστε ικανοποιημένοι με αυτό.
Εντάξει